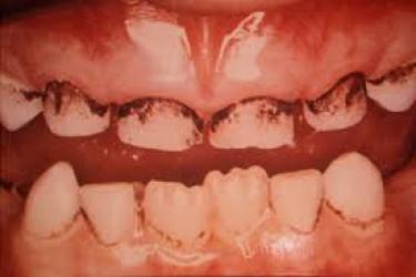
A linha negra
Existem certos casos que podem não estar diretamente relacionados com a higiene oral e que surgem por diversos fatores, como é o caso das manchas nos dentes.
Existem casos de pigmentação das superfícies dentárias provenientes dos produtos do metabolismo de uma bactéria que faz parte da flora comensal da cavidade oral e que é normalmente chamada linha negra.
A pigmentação dos dentes pode ocorrer no interior da estrutura dos dentes (pigmentação intrínseca) ou na superfície externa do esmalte (pigmentação extrínseca).
A pigmentação intrínseca não pode ser removida com uma limpeza dos dentes e tem diferentes causas: flúor em excesso, toma de tetraciclinas (antibiótico) e doenças genéticas.
A pigmentação extrínseca pode ser removida por uma limpeza a realizar pelo dentista ou higienista oral. Certos alimentos (especiarias, chá, café), tabaco (fumado e mastigado) e certos medicamentos (ferro) estão na origem deste tipo de pigmentação, e uma deficiente higiene oral agrava este problema.
Nas crianças, existe ainda uma outra causa para esta pigmentação externa: a pigmentação negra fisiológica.
A pigmentação negra fisiológica é muito frequente nas crianças e, por vezes pode, desaparecer com o crescimento. Deve-se à instalação de micro-organismos oportunistas (fungos) em consequência da insuficiente maturação salivar nestas idades.
Na criança, esta imaturidade é fisiológica e, portanto, própria da idade. Entre os 6 e os 8 anos de idade, altura em que a maturação salivar já deverá estar concluída, este pigmento deixa de se formar. Infelizmente, até se atingir a maturação salivar nada há a fazer para se prevenir o seu aparecimento.
A limpeza remove facilmente este pigmento, sem causar dor e sem danificar os dentes, mesmo quando repetida frequentemente.
No entanto, o problema é apenas estético, não estando associado ao aumento das cáries dentárias, nem a qualquer outra doença. Habitualmente são necessárias várias limpezas, já que este pigmento tem tendência a reaparecer pouco após a sua remoção e até à altura em que a criança atinge a completa maturação salivar. O único inconveniente que poderá resultar da realização periódica deste tipo de limpezas é... o seu custo monetário.
